• 주식회사 태린, 글로벌 도약 앞두고 가품 단속 본격화… 중국 중심의 위조 유통 차단 나서
  • 데이비드 파크골프, 현대 프리미엄 아울렛 스페이스원 팝업 행사 진행
  • 메이영, 와디즈 통해 신제품 선보인다…오는 4월 29일 사전 예약 시작
  • 메이영, 와디즈 통해 신제품 선보인다…오는 4월 29일 사전 예약 시작
  • ‘SNS 핫템’ 쿤달 ‘콜라겐 데미지 케어 헤어미스트’, 다이소 온라인몰서 완판
  • 상관모욕죄, 유죄와 무죄를 가르는 포인트는?
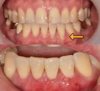
  • 잇몸이식수술, 핀홀 및 조직유도재생술 방법에 따른 차이는?
  • 잇몸이식수술, 핀홀 및 조직유도재생술 방법에 따른 차이는?
  • 베로로 캐리어, 국내 백화점 유통망 최다 입점…블루독 베이비 55개 매장 전시&판매
  • 축산물처리협회, 한우농가 산불피해 지원 성금 1천만원 쾌척