• 의료용 마약 처방, 오남용 시 형사처벌 가능…환자 의료진 모두 주의 필요
  • 국립인천해양박물관, 개방형 수장고 운영과 교육 프로그램 진행
  • K-푸드 선도 ‘2025 해외 우수 한식당 지정’ 신청 접수
  • K-푸드 선도 ‘2025 해외 우수 한식당 지정’ 신청 접수
  • K-푸드 선도 ‘2025 해외 우수 한식당 지정’ 신청 접수
  • K-푸드 선도 ‘2025 해외 우수 한식당 지정’ 신청 접수
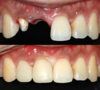
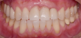
  • 앞니 임플란트 기간, 핑크포세린 i-GBR 통해 단축 도움
  • 앞니 임플란트 기간, 핑크포세린 i-GBR 통해 단축 도움
  • 바람누리, 시스템형부터 벽걸이형 등 전 제품 원스톱 시공 서비스 제공
  • 농정원, 스마트팜코리아 개편·신규 데이터 개방